Klinik Pergigian Well Soon Dental

Dental clinic opened by caring dentist to serve the Ipoh community. Our mission is to help every dental patient leave with a beautiful smile.

Book Appointment

About Our Clinic

Klinik Pergigian Well Soon Dental (威信牙科诊所) provides high quality dental treatments using modern technology and professional dentists. We focus on patient comfort and excellent dental care.

Dental Services

Orthodontic (Braces)

Teeth straightening treatment.

Myobrace

Orthodontic treatment for children.

Dental Implant

Permanent replacement for missing teeth.

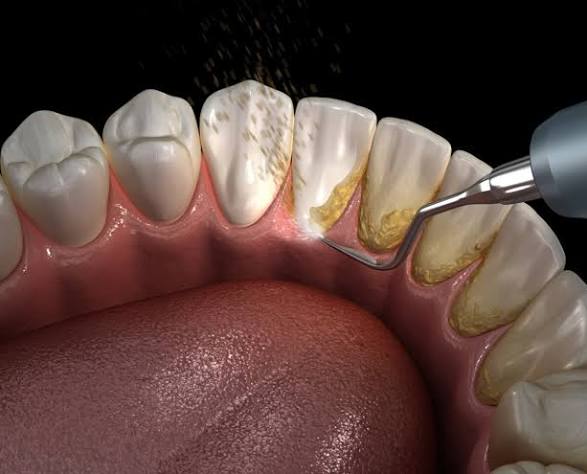
Scaling

Professional cleaning of teeth.

Tooth Coloured Fillings

Natural looking dental fillings.

Teeth Whitening

Brighten your smile professionally.

Denture

Replacement teeth for better chewing.

Dental Veneers

Improve appearance of your smile.

Crown & Bridges

Restore damaged or missing teeth.

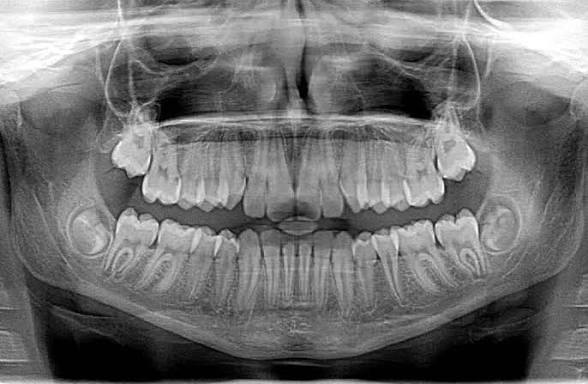
Digital X-Rays

Modern dental diagnostic imaging.

Children Dentistry

Gentle dental care for kids.

Minor Oral Surgery

Small dental surgical procedures.

Root Canal Treatment

Painless treatment for infected teeth.

Gum Disease Treatment

Treatment for gum infections.

Our Dentist

Professional Dental Care

Our experienced dentist provides high quality dental care using modern equipment and patient friendly treatment methods.

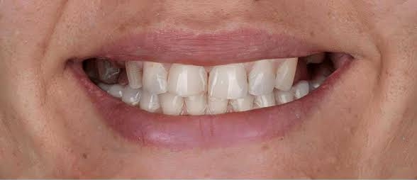
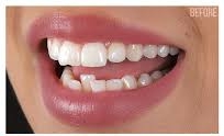
Smile Transformations

Opening Hours

Monday – Saturday : 9:00 AM – 9:00 PM

Sunday : Closed

Contact Us

Book your appointment today

Call Clinic WhatsApp
💬